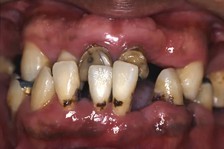
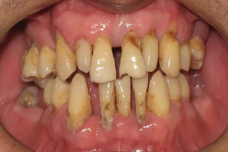
牙周炎图片 时间:2025-12-15 12:31:00 浏览:923次 牙菌斑是牙周炎的始动因素,牙石、食物嵌塞、局部创伤、解剖因素、口腔不良习惯、医源性因素是牙周炎的促进因素;且不良的生活方式与环境、不健康的机体状态、个体遗传特征是牙周炎的危险因素。 标签:牙周炎,图片